|
お願い 画像の使用はかまいませんが直リンクだけは避けてください! 「コピー」ではなく右クリックで、「名前をつけて画像を保存」を選んでファイルに保存してから使ってください。 |
誤嚥性肺炎(嚥下性肺炎)
脳性麻痺の方やご老人は呼吸器疾患(肺炎)で命を落とされることが多くあります。肺炎の原因はいろいろありますが、嚥下障害があると、口の中の細菌で汚れた唾液や食物を気管へ吸引してしまいます。そうやって起きる肺炎を誤嚥性肺炎、または、嚥下性肺炎と呼びます。体力が弱って、咳き込む力が弱かったり、痰となって自然に汚物を出すことができないために肺炎になってしまうのです。繰り返し誤嚥を続けていると、反射も低下して、熱もさほど出なくなり、肺炎との判断が難しくなってきます。そうするうちに、次第に重篤になってしまうのです。
気管のほうに食物が入ってしまう(赤い部分) 反射が弱い場合は、喀出ができない。
食事時の姿勢に注意を払う。
体力をつけること。低栄養や水分不足は禁物。(経管栄養や胃ろうとの併用も考慮してみる)
口腔ケアで口腔内を清潔にして、細菌数を減らし、誤嚥しても被害を最小限にとどめる。
食べた後、すぐ横にしない。(胃食道逆流の防止)
食べる前に嚥下体操で準備運動。(一口目が一番誤嚥しやすい)
むせないから誤嚥していないとは限らない。(咳反射が低下している場合がある)
むせるから経口摂取が無理とは必ずしも言えない。(調理形態、介助法、姿勢などで軽減させることができる)
お奨め図書→「命を狙う口の中のバイキン」奥田克爾著 一世出版
|
口腔乾燥と誤嚥 |
|
寝たきりで口を閉じる事ができず、口で息をしている(口呼吸)方の場合、口腔が極端に乾燥し、嚥下がスムーズに行かなくなっているケースによく遭遇します。こういう方は、痰も固く切れが悪いです。舌の動きも悪く、安静時の嚥下がうまくいかなくなります。口腔内の雑菌も容易に繁殖し、誤嚥の危険性も増します。口腔内の加湿・保湿を積極的に進めることが必要です。 |
|
呼吸機能 |
|
誤嚥を起こすケースでは、十分な呼吸運動ができない方に多いようです。咳嗽反射がうまくいかないのは、この呼吸機能の低下によります。脳幹に障害がある場合、特に深刻です。肺理学療法の出番です。脳性まひ児の場合、脊柱の側わんが進行することにより呼吸や嚥下機能を阻害してきます。口だけいじっていても食べる事や飲み込む事はそれほど改善しません。全身の機能をどのように高めるか、高めていけるかで、摂食嚥下機能障害への取り組み方も変わってきます。 |
|
痙性と舌骨下筋および頸部筋群 |
|
脳性麻痺の頸部の緊張性の後屈、嚥下時の舌の突出など、異常嚥下については、理学療法的に姿勢制御やリラクゼーションで痙性の軽減をおこなっている。しかし、上下肢の筋構成に比べて、嚥下に関係する筋群は解剖学的に大変複雑であり、機能的にも複雑な動きをしているためにコントロールが大変難しい。効果も今ひとつである。頸部筋群の手術療法で、異常姿勢の改善や呼吸が安定することにより、摂食機能も改善した例がある。脳性麻痺の摂食指導については、今一度原点に戻り、そのあり方を検討する時期に来ているようだ。 |
|
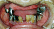
寝たきりの方の入れ歯と口腔内 |
|
|
|
|
|
しろっぽいところはバイキンの塊。 口腔の機能が悪いと自浄作用も落ちて汚れが繁殖しやすい |
話す、食べることがないと口腔内の環境はとたんに悪くなる。 |
|
嚥下の機能低下があるとこれらのバイキンが気管を通して肺に入ってしまう。 |
|